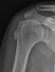
Shoulder61 Proximal humerus fracture Proximal humerus fracture65 years old female patientTripping over a rope Pre-op Post-op Materials : Philos plate(AO synthes) & 2.4 mm mini-plate(AO synthes) 제일 처음 cortical screw를 고정할 위치에 Fx. line이 존재하여미리 2.4 mm mini-plate 로 OR & fixation을 하여어느 정도 stability를 만든 후, Philos plate를 apply 함. 2026. 1. 1. Comminuted clavicle mid-shaft fracture Comminuted clavicle mid-shaft fracture36 years old male patient Pre-op Post-op Materials : AO synthesnew version, 2.7 mm clavicle platelag screw, 2.4 mm mini-screw 쇄골 골절을 쉽게 생각하면 절대 안됩니다 2025. 6. 23. Humerus surgical neck fracture Humerus surgical neck fracture 52 years old female patientSlip down injury in the bath room Pre-op Post-op 2024. 8. 20. Humerus neck fracture(ORIF) Fx humerus neck Lt. 35 years old male patient 자전거 타고 가다가 차와 충돌하여 LOC (+) Pre-op Post-op Product : AO synthes (Philos plate)Delto-pectoral approach 하여 biceps tendon의 just lateral에약간 비스듬히 Philos plate를 대면 정확한 고정이 이뤄집니다. 2024. 6. 22. 어깨의 인대 손상 격렬한 운동을 하다 보면 어깨 관절을 다치기가 아주 쉽습니다. 그러면 어깨 관절에 피하 출혈(멍듦)이 생기기도 합니다. Skin bruise of shoulder joint 어깨 관절의 인대는 상당히 강하며 뼈와 뼈를 연결하는 구조물이기 때문에 우리 몸속 깊숙히 있습니다. 어깨 관절의 인대(ligament) 인대 손상의 확인은 MRI 검사로 합니다. 2021. 11. 6. Frozen shoulder(동결견) 정상적인 어깨 관절은 견갑-흉곽 운동(Scapulo-thoracic motion)에 의해서 복합적으로 이뤄지게 됩니다. 어깨 통증으로 평소 사용하는 앞쪽 근육이 아닌 잘 사용하지 않는 어깨 뒷쪽 근육부터 굳기 시작을 합니다. 그래서 처음에는 어깨의 내회전(열중 쉬어 자세)이 안됩니다. '동결견'은 어떤 이유(당뇨, 경추부 추간판 탈출증, 골절 등)로 인해 '어깨 관절의 운동 범위가 감소한 경우'로 정의 합니다 '동결견'의 병태 생리는 '어깨 관절의 비화농성 염증(non-pyogenic inflammation) 및 관절막의 섬유화(fibrosis)' 입니다 최근에는 '경추부 추간판 탈출증'으로 인한 '이차성 동결견'이 증가하는 양상을 보이고 있습니다 '오십견'이라는 병명은 정확한 병명은 아닙니다 '동결견'.. 2021. 1. 10. Proximal humerus fracture(Hemi-arthropalsty) Proximal humerus fracture 88 years old female patient with severe OA change Pre-op Post-op 2020. 2. 2. Cuff tear arthropathy shoulder Rt. Cuff tear arthropathy shoulder Rt. 70 years old male patient 회전근개 파열 후 오랜 시간이 지나 '관절염'이 발생한 경우입니다. 2019. 11. 18. Calcific tendinitis shoulder both Calcific tendinitis shoulder both 46 years old female patient 2019. 9. 4. 이전 1 2 3 4 ··· 7 다음